Estudios

LOW MEDIUM H I G H
Introducción La fibrosis es el desarrollo en exceso de tejido conectivo fibroso en un órgano o tejido. Este proceso surge como consecuencia

Byung-Soon Park y Won-Serk Kim
En virtud de su capacidad de renovarse y diferenciarse en varios tipos de células, las células madre mesenquimales humanas representan las primeras

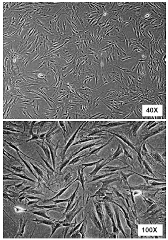
20 Células madre derivadas de tejido adiposo y sus factores secretados para el envejecimiento de la piel
Introducción El término de “célula madre” ha atraído cada vez más atención tanto de la comunidad científica como del público en general.

Effects of HOCl Solutions on Venous Leg Ulcers: Experience With 1249 VLUs in 897 Patients
Abstract In order to assess the impact of comorbidities and identify factors that accelerate the healing rate of venous leg ulcers we

Uso Del Acido Hipocloroso (HOCl) En Ulceras De Miembros Inferiores.
Abstrac: Las úlceras de miembros inferiores, secundarias a diferentes etiologías que se analizaron en el trabajo, continúan siendo una importante causa de

A Randomized Clinical Trial: The Efficacy of Hypochlorous Acid on Septic Traumatic Wound.
Abstract Background: Hypochlorous acid is a highly microbiocidal active agent against a broad spectrum of microorganisms. It achieved a marked reduction in

